
Protezele dentare fixe pe implanturi sunt concepute pentru a semăna cât mai mult cu dinții naturali, atât din punct de vedere estetic, cât și funcțional. Iată câteva aspecte cheie ale acestora:
Protezele dentare fixe pe implanturi nu doar îmbunătățesc estetica zâmbetului, ci și calitatea vieții, permițând pacienților să se bucure din nou de mâncare, vorbire și interacțiuni sociale fără inhibiții
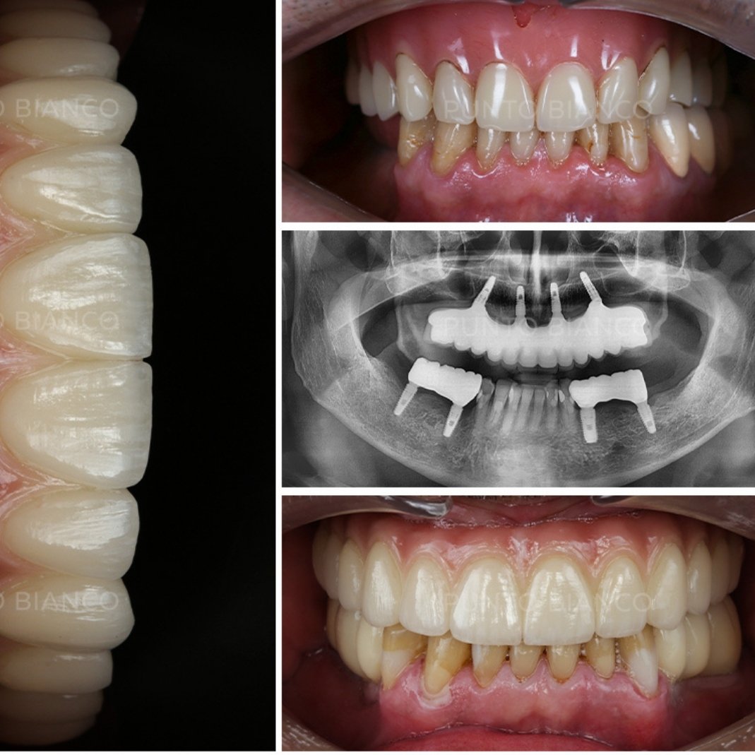
Unul dintre avantajele majore ale protezelor fixe pe implanturi este procesul de osteointegrare, prin care implanturile dentare fuzionează complet cu osul maxilar sau mandibular. Această integrare oferă o bază stabilă și durabilă pentru proteză, prevenind pierderea de masă osoasă care poate apărea în cazul dinților absenți. Pe lângă aspectul și funcționalitatea naturală, osteointegrarea contribuie la sănătatea pe termen lung a structurii osoase și a cavității bucale, menținând conturul facial și prevenind modificările fizionomiei cauzate de resorbția osului.


Spre deosebire de protezele mobile, protezele dentare fixe pe implanturi necesită o întreținere mult mai simplă. Igiena orală se realizează aproape la fel ca în cazul dinților naturali, cu periaj și folosirea aței dentare pentru menținerea sănătății gingivale. De asemenea, protezele fixe elimină necesitatea adezivilor sau soluțiilor de curățare specializate. În plus, consultațiile regulate la dentist asigură că proteza rămâne în condiții optime, garantând atât estetică, cât și funcționalitate de lungă durată.