Proteze Fixe: Soluția Ideală pentru Dinți Ficși și Funcționali

Ce sunt Protezele Fixe?

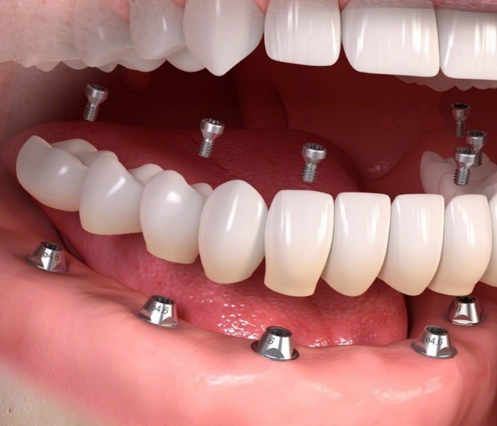
Protezele fixe reprezintă o soluție revoluționară pentru pacienții edentați, fiind complet susținute și ancorate de implanturi dentare. Spre deosebire de protezele mobile tradiționale, aceste proteze elimină nevoia de a purta dispozitive detașabile, oferind stabilitate și confort pe termen lung.

Tehnologia implanturilor endosoase, introdusă de profesorul Per-Ingvar Brånemark, a schimbat dramatic modul în care pacienții cu edentație completă sunt tratați, îmbunătățind semnificativ calitatea vieții acestora. Evoluția acestei tehnologii a deschis calea pentru diverse inovații în designul protezelor, permițând un suport biomecanic optim.

De obicei, sunt necesare între 4 și 6 implanturi pentru a asigura suportul necesar. Numărul exact de implanturi este determinat de factori precum forma arcului, calitatea osului, starea arcului opus și forțele de mâncare. Fiecare tratament este personalizat pentru a se potrivi nevoilor individuale ale pacientului, asigurând o integrare eficientă și un confort maxim.

Cum se face?

Ce tipuri de proteze sunt?

De ce să alegi proteze fixe pe Implanturi?

Protezele fixe pe implanturi reprezintă o soluție modernă care oferă stabilitate și confort, eliminând neplăcerile asociate cu protezele mobile. Fixate solid pe implanturi dentare, acestea permit pacienților să mănânce, să vorbească și să zâmbească fără teama ca protezele să se miște. Acest tip de restaurare nu doar îmbunătățește funcționalitatea și estetica, ci ajută și la menținerea structurii faciale, prevenind pierderea osoasă care apare în mod obișnuit în cazul edentației. În plus, protezele fixe redau pacienților încrederea și oferă o soluție durabilă care necesită întreținere minimă, fără vizite frecvente la dentist pentru ajustări. Alegând această opțiune, pacienții pot experimenta o viață mai activă și o sănătate orală îmbunătățită pe termen lung.

Inovație și Tehnologie Modernă

200+ Recenzii Pozitive

“Zâmbetul este cea mai plăcută formulă de SALUT”

Zâmbetul este cea mai plăcută formulă de SALUT care este înțeleasă de fiecare om! Îmi place să zâmbesc, iar dinții frumoși îmi fac zâmbetul să fie unul frumos! Iar acesta a fost și motivul pentru care am apelat la Clinică PUNTO BIANCO! Aici am întâlnit o Echipă de Profesioniști – competenți și binevoitori! Apreciez mult spiritul de echipă pe care-l au acești minunați medici! Cu multă recunoștință mulțumesc Dnei Ana Roșca, Dnei Anastasia Strungaru, Dnei Liudmila Zaharia, Dnului Radu Nicolae și nu în ultimul rând Dnului Eugen Zaicov! Mulțumesc mult întregii Echipe PUNTO BIANCO și desigur le doresc multă Sănătate și succese în toate! Recomand cu multă încredere serviciile Clinicii!

Tamara Cadeniuc

“În sfârșit pot să zâmbesc 😃”

În sfârșit pot să zâmbesc 😃 Profesionalismul și amabilitatea întregii echipe sunt remarcabile. Am trecut printr-un proces complicat cu ei, dar fiecare vizită a fost ca o vizită la prieteni. Sunt extrem de fericit cu rezultatele obținute. Mi-au oferit servicii excelente și cu siguranță voi reveni pentru toate nevoile mele dentare viitoare! Mulțumiri domnului Nelu Vascăuțan, doamnei Tatiana și Elisa 🥰 sunteți cei mai buni!

Victoria Chetrari

“Recomand totul, în primul rând profesionalismul lor”

Recomand totul, în primul rând profesionalismul lor, apoi dedicarea față de pacienți, din primul minut până la final. Am fost singură, dar nu m-am simțit așa niciodată, cu un follow-up telefonic constant din partea Alinei, managerul clinicii, și Tatianei, asistenta mea de traducere, care au fost alături de mine în permanență, atât în timpul operației, cât și după. Mulțumiri speciale și pentru Olesea și Corina, care m-au ajutat în toate. În general, rămân impresionată de o echipă excelentă: chirurgi, anesteziolog, proteticieni, recepționeri, șoferi, etc. Sunt cu adevărat recunoscătoare pentru atenția voastră. Viața mea s-a schimbat, iar voi ați contribuit la îndeplinirea visului meu. Cea mai bună parte urmează în șase luni, când voi avea zâmbetul meu final… Între timp, vă doresc tot ce e mai bun, o mare îmbrățișare!

Pilar Laorden

Tipuri și Mărimi de Implanturi

pacienți fericiți lunar

Reabilitări cu Proteze Fixe

Rată de Succes