Protezele fixe pe implanturi sunt soluții avansate care oferă stabilitate și confort, îmbunătățind atât funcționalitatea, cât și estetica. Există mai multe tipuri de proteze fixe, fiecare având caracteristici specifice pentru a răspunde nevoilor individuale ale pacienților:
Fiecare tip de proteză fixă este proiectat să ofere confort, funcționalitate și o estetică superioară, adaptându-se la nevoile specifice ale fiecărui pacient.
Rășină acrilică: Folosite adesea pentru proteze provizorii, sunt mai ușoare și mai accesibile, dar au o durată de viață mai scurtă.
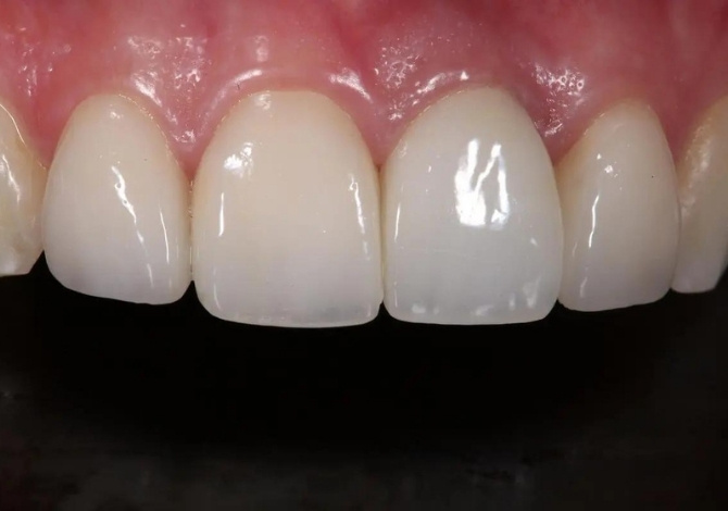
Ceramică: Oferă un aspect natural și estetică superioară, fiind rezistente la pete și uzură.
Zirconiu: Material extrem de rezistent și biocompatibil, combină durabilitatea cu un aspect natural de înaltă calitate.
Metal-ceramică: Îmbină durabilitatea metalului cu estetica ceramicii, oferind un echilibru între cost și aspect.
Metal-compozit: Similar cu metal-ceramica, dar cu un strat exterior din compozit, fiind mai ușor de reparat, însă mai puțin rezistente în timp.


Fiecare sistem All-on-X oferă avantaje unice în funcție de numărul de implanturi:


Alegerea tipului de proteză fixă depinde de mai mulți factori, cum ar fi:
Medicul stomatolog va efectua o evaluare detaliată, inclusiv o tomografie 3D, pentru a determina ce soluție este cea mai potrivită pentru fiecare pacient.